About
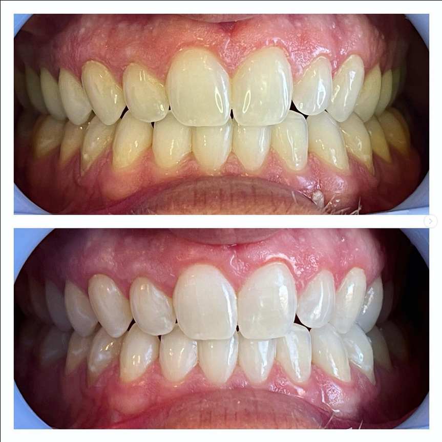
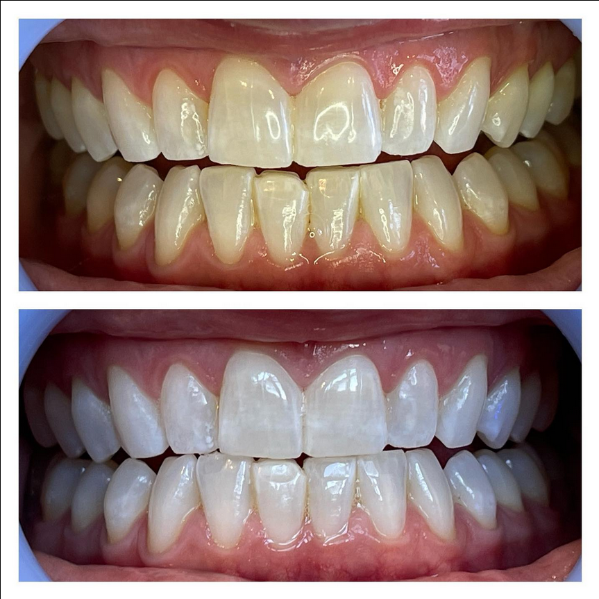
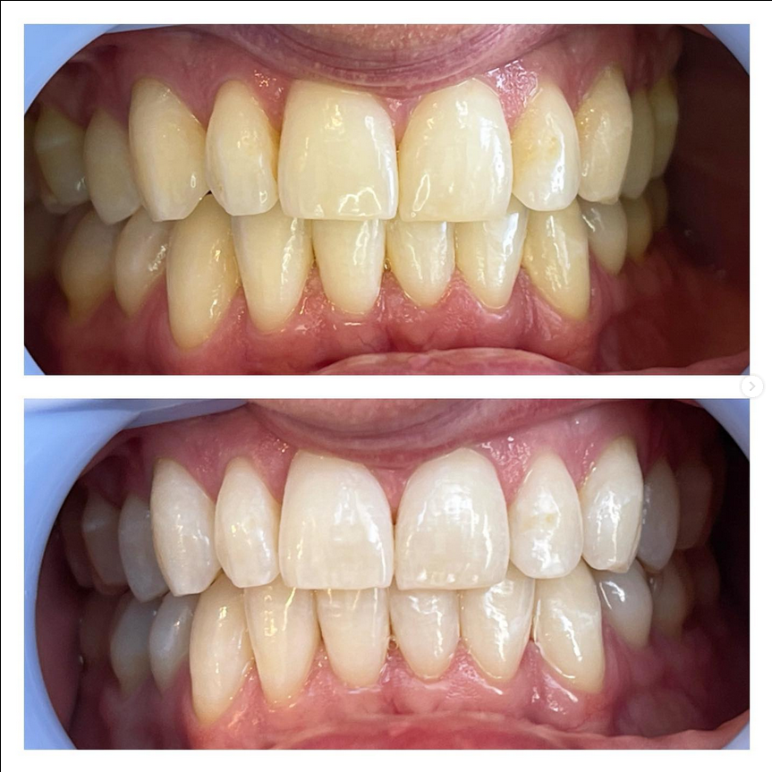
Results
Contact
Results
And many,
many
more...